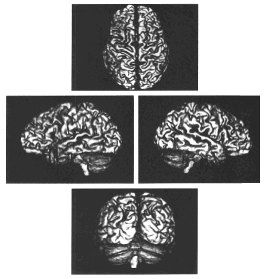
Figure 2.
Three-dimensional renderings of MRI dataset presenting images of the brain as if viewed from above (top) left and right, and behind (bottom).  Figure provided courtesy of Patrick Barta, NIMH.

Back to Chapter

published 2000