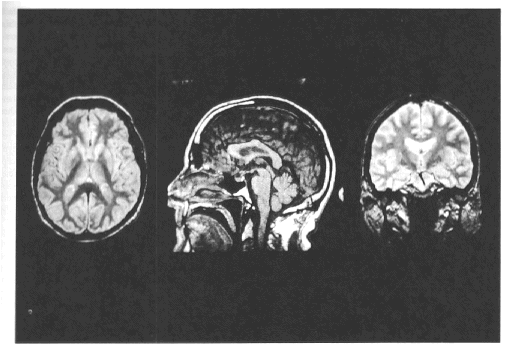
Figure 1.
MRI scans acquired in axial (A), coronal (B) and sagittal (C) planes.  All images were acquired with a field of view of 24 cm, NEX = 1, and 256 x 256 matrix.  Left:  Axial image, 5-mm thick, passing through the lateral ventricles and basal ganglia.  Image was acquired in an oblique plane parallel to the AC-PC line. Image was acquired using a spin-echo sequence, gated to achieve an effective TR of >2400 ms with one excitation for each of 256 phase encodes and TE of 20 ms.  Center:  Mid-sagittal image, 3 mm thick, acquired using a single-echo pulse sequence (TR=600 msec; TE=20 msec), collected without using internal anatomical landmarks. Image highlights the corpus callosum, brain stem and cerebellum.   Right:   Coronal image, 3 mm thick, passing through laeral ventricles and temporal lobes.  Image was acquired in a plane perpendicular to the AC-PC line using a multiecho, flow compensated, cardiac gated pulse sequence (TE=40 msec; effective TR·2800 msec).

Back to Chapter

published 2000