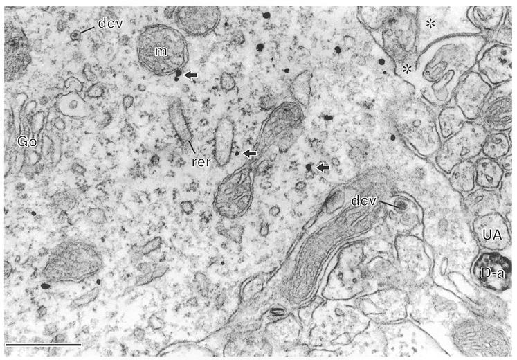
Figure 1
Electron micrograph showing the immunogold-silver localization of tyrosine hydroxylase in a perikaryon in the rat substantia nigra.  Gold-silver labeling (small arrows) is seen in portions of the cytoplasm between the Golgi lamellae (Go) and the plasmalemma. The labeled cytoplasmic region contains abundant rough endoplasmic reticulum (rer) and numerous mitochondria (m).  One dense core vesicle (dcv) is seen in the somatic cytoplasm, while another is present in a small unmyelinated axon that is apposed to a somatic spine.  The spine is also in contact with several other unmyelinated axons that are either unlabeled (UA) or contain  immunoperoxidase labeling for dynorphin (D-a).  Asterisks indicate astrocytic processes processes. Bar= 0.2 μm.

Back to Chapter

published 2000